Your Dentist in Framingham
Dr. Marilyn Rivero
Cosmetic & General Dentistry
A boutique, patient-focused dental practice centered on personalized care and long-term oral health.
What our patients appreciate most:
- • Personalized care — never rushed, always explained
- • A calm, judgment-free experience built on trust, empathy, and comfort
- • Private, boutique dentistry focused on long-term health
Tufts University School of Dental Medicine · Fellow, International College of Dentists · Boston Magazine Top Dentist, 2025
Our Services
Cosmetic Dentistry
Porcelain veneers, teeth whitening, Invisalign clear aligners, and smile design consultations. Dr. Rivero completed advanced training in cosmetic dentistry at the Pankey Institute.
Learn MorePreventive Dentistry
Comprehensive exams, professional cleanings, digital X-rays, oral cancer screenings, and personalized hygiene guidance. Good preventive care is the foundation of everything we do — and the best way to avoid bigger problems down the road.
Learn MoreRestorative Dentistry
Crowns, bridges, tooth-colored fillings, and dental implant restorations. When teeth are damaged or missing, restorative treatment can help rebuild both function and appearance.
Learn MoreAbout Our Practice
Smile Art Dental Studio is a private dental practice in Framingham, MA, led by Dr. Marilyn Rivero, the only dentist in the office. She's involved in every treatment plan, start to finish. She works with two registered dental hygienists and two dental assistants who've been part of the practice for years. They know the patients. It makes a difference.
Because of how the practice is set up, you're not going to feel rushed. We keep the schedule lighter than most offices so there's actually time to talk, to explain things, to listen. That's true whether you're coming in for a regular cleaning or finally dealing with something you've been avoiding. No one here is going to make you feel bad about it.
We see patients of all ages, and if you're not sure what you need yet, that's fine too. You're welcome to call and ask questions before committing to anything.

Recognized as a Top Dentist
Dr. Rivero was included in Boston Magazine's Top Dentists list for 2025. The list is based on a peer-review survey of dental professionals across the greater Boston area, conducted in partnership with an independent research firm.
We're grateful for the recognition and remain focused on providing thoughtful, individualized care to every patient who walks through our door.

Marilyn Rivero, DMD
Cosmetic & General Dentistry
Dr. Rivero earned her Doctor of Dental Medicine degree from Tufts University School of Dental Medicine, where she was a two-time recipient of the Tufts Grant, a scholarship awarded to the highest-achieving students. She served as the dental student representative to the university's Presidential Search Committee.
She completed postgraduate training at the Pankey Institute for Advanced Dental Studies, with coursework in occlusion and cosmetic dentistry, and a mini-residency in prosthetic dentistry with a concentration on smile design.
Dr. Rivero is a Fellow of the International College of Dentists — the world's oldest and largest honor society for dentists — and has served as a clinical instructor at Tufts University School of Dental Medicine in the Operative Department.
Outside the office, she volunteers with the Child Identification Program (CHIPS), creating dental imprints to help locate missing children, and has volunteered with the Massachusetts Dental Society's Mobile Access to Care (MAC) van, which provides dental services to underserved children across the Commonwealth.
Dr. Rivero practices in the MetroWest area and is currently accepting new patients.
Your First Visit
A first appointment at Smile Art Dental Studio typically includes a comprehensive exam, digital X-rays, and a professional cleaning. Dr. Rivero will go over your dental and medical history, take the time to hear what's on your mind, and explain her findings in plain language.
If she recommends treatment, she'll walk you through your options: what's involved, what to expect, and what it'll cost. The goal is for you to feel confident in whatever you decide. There's no pressure, and you're always welcome to take time to think things over.
New patient visits usually run about 60 to 90 minutes. If you'd like to get a head start, you can fill out your paperwork before your appointment.
What Our Patients Say
5-star rated on Google, Yelp, and Healthgrades
Exceptional Care for Over 20 Years! I have been a patient of Dr. Rivero for the past 20 plus years, and I can honestly say that my experience has been nothing short of outstanding.
I'm not a patient but I am a local dentist. Dr. Rivero has an excellent reputation for taking good care of her patients and the work I have seen her do is excellent.
I love my teeth! Dr. Rivero did my cosmetic work last year and gave me porcelain veneers. The staff were so patient and I look like a movie star! Thanks to you Dr. Rivero.
Dr. Rivero specializes in non-judgmental dentistry, so if you are sensitive about your teeth, or being judged by staff or a dentist, have no fear. She is nurturing, caring, empathetic, and above all, her team embodies this philosophy.
Dr. Rivero and her staff are the consummate professionals. Everything is first class and state of the art; and her dentistry is provided with the kind of TLC that is rare in this day and age.
Dr Rivero is the most knowledgeable, thorough dentist we've ever seen! She is an expert in her field. We've had some complicated issues & she always takes time to explain the options in easy to understand language.
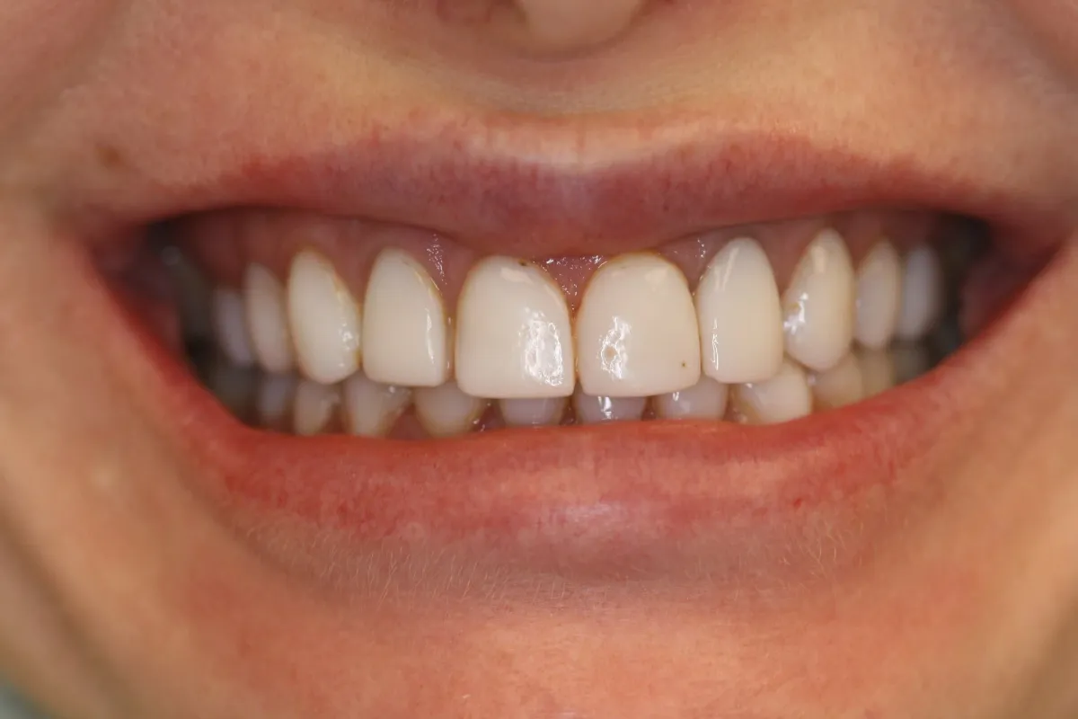
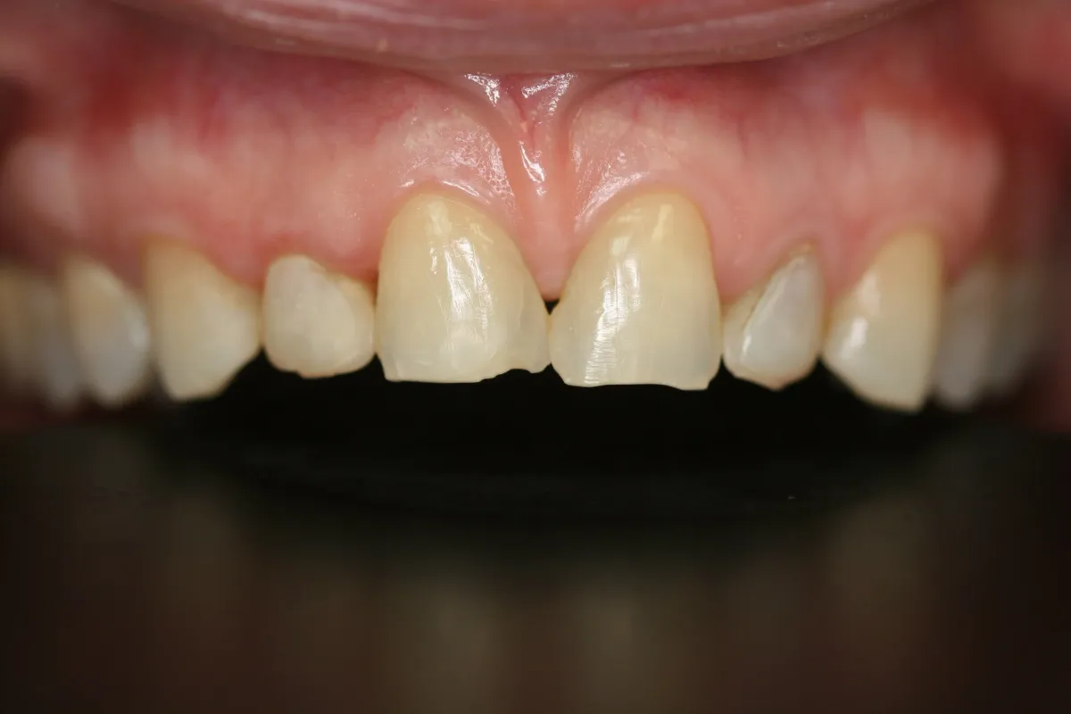
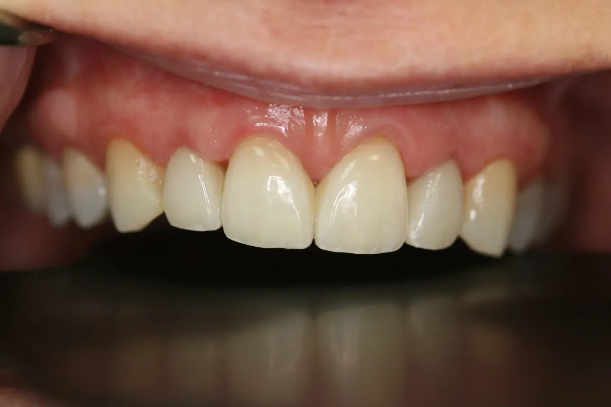
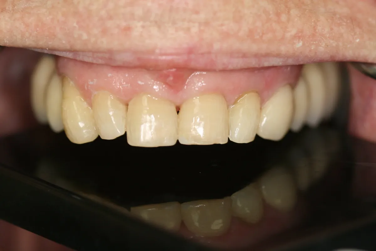
Our Work
Before and after results from cosmetic and restorative cases performed at our Framingham office.
Anterior Crowns


Anterior Veneers


Implant Crown


Porcelain Veneers


Full Mouth Reconstruction


Individual results vary depending on each patient's oral health, treatment plan, and other factors. Photos are used with patient permission.
Insurance & Payment
We're not in-network with dental insurance plans, and we know that can bring up questions. Here's how it works: our team handles the paperwork for you. We prepare and submit everything to your insurance carrier, and we'll walk you through the reimbursement process so you can get whatever out-of-network benefits your plan covers.
We also offer flexible payment options, including CareCredit and in-house payment plans, so cost doesn't have to be a barrier to getting the care you need.
If you want help figuring out your coverage or payment options before coming in, just give us a call. We're happy to help you sort through it.
CareCredit
We accept CareCredit, offering flexible financing options with convenient monthly payments to help make your dental care affordable.
In-House Payment Options
We also offer in-house payment arrangements to help you manage the cost of treatment in a way that works for your budget.
Our Office
Smile Art Dental Studio is located at 235 Walnut Street, Suite 2, in Framingham, MA — close to downtown Framingham and easily accessible from Route 9.
Parking is available on-site. The office is wheelchair accessible.
Office Hours
Monday – Thursday: 8:30 AM – 5:30 PM
Friday – Sunday: Closed

Thoughtful Care, Designed Around You
Take the first step toward the confident, radiant smile you've always dreamed of. Schedule your personalized consultation today and discover the Smile Art difference.
Request an Appointment